3월 10일자 update.
오늘 아침에 하니동물병원에 전화로 여쭈어 들은 경아 상태입니다.
이틀전인 3월 8일에 강제배뇨를 위한 카테터를 제거했으며,
처음에는 조금 고통스러워 했지만 지금은 소변을 보는 데 큰 무리가 없다고 합니다.
처방식 건사료를 먹고 있고, 대변상태도 양호하답니다.
아직 집중치료실에 있는데
경아 자신의 호흡기 질환이 심하기 때문이기도 하고
입원해 있는 다른 고양이들에게 전염이 될 수도 있기 때문에 격리한 것이라고 합니다.
입원 당시처럼 상황이 심각한 것 같지는 않아 보이고
상태가 많이 호전된 것 같습니다.
퇴원시기는 원장선생님과 상의를 해봐야 한다고 합니다.
제가 토요일 아침에 병원 방문하면서 다시 한 번 알아 보겠습니다.
관심 가져주신 분들께 감사 드립니다...
===============================================================================
3월 8일자 update.
주중에는 지방에 있어야 하니 직접 가서 볼 수는 없고, 어제 궁금해서 하니동물병원에 전화를 했었습니다.
어제 (3월 7일 월요일) 12시에 경아를 일반 케이지에서 집중 치료실로 옮겼다고 합니다.
사람들로 치자면 케이지는 일반 병실이고, 집중 치료실은 중환자실 정도 되려나요?
인큐베이터처럼 생긴 집중 치료실로 옮긴 이유는 경아가 신부전증 말고도 호흡기 질환이 심해서라고 합니다.
그래서 온퐁기와 가습기로 적정한 온도와 습도를 유지해 주기 위해서 집중 치료실로 옮겼고,
옮기고 나서는 소변도 나름 조금씩 보고, 소량이나마 스스로 처방식을 먹기도 한답니다.
다만 7.6kg나 나가는 체중에 비하면 먹는 양이 아직 조금이기 때문에 저녁부터는 강제급여를 할 예정이랍니다.
전반적으로 케이지에서는 웅크려 있기만 하다가
집중치료실로 옮기고 난 후에는 팔, 다리의 움직임도 자연스러워 보이고 비교적 편안해 하는 것 같답니다.
하니 동물병원 간호사님이 집중 치료실에 누워 있는 경아의 모습을 핸펀으로 보내 주셨는데
화질이 좋지 않아서 올리기엔 좀 적합치 않네요...
나름 짧지 않은 시간이 지났는데도 아직 경아를 기억해 주시는 분들,
전에 알지는 않으셨지만 관심 가져 주신 분들께 경아를 대신해 감사드립니다.
다음에 또 소식 전해 드리겠습니다. 감사합니다...
==========================================================================================
다음카페 시절, 내사랑길냥이 코너에 글을 몇 번 올렸었는데 길고양이 경아를 아직 기억하고 계실지 모르겠습니다.
지난 주 금요일 지방에서 올라와 저녁을 먹기도 전에 경아를 만나러 갔더니
이렇게 다 죽어가는 모습으로 절 기다리고 있었습니다.
같이 길고양이들 밥을 챙겨 주시는 캣맘할머니로부터 경아 상태가 좋지 않다는 얘기는 들었지만
제가 주중에 지방에 있어야 하고, 그 분도, 그리고 제 가족들도 고양이를 만지지도 못하는 형편이라
딱히 손을 쓸 마련을 만들지 못한 게 사실이긴 합니다.
하지만 그래도 이 정도까지라고는 생각도 못 했습니다.
한 눈에 보니 거동이 불편하고 먹지도 못하는 데다 근처만 가도 악취가 코를 찌릅니다.
나중에 안 사실이지만 엎드린 채 움직이지 못하는 상황에서 소변이 새 나와 복부와 네 발, 꼬리까지 젖은 것이었습니다.
저를 보더니 지금까지 한 번도 제게 등을 보인 적이 없는 녀석이 쉰 목소리로 아웅 거리고는 돌아 앉는데,
살려달라는 소리가 아니라 마치 지금 죽는다는 소리처럼 들립니다.
급한 마음에 천랑님께 전화해서 이동장을 빌리고 병원을 수소문합니다.
천랑님은 좀 멀긴 하지만 목동의 하니병원을 추천하십니다.
움직이지 않으려는 경아를 거의 억지로 이동장에 잡아 넣고 하니병원으로 차를 몰고 갑니다.
도착해 보니 10시 30분 경이 됩니다.
이동장에서 덫으로 옮겨야 하지만 녀석은 움직이려 하지 않습니다.
겨우 덫으로 옮기고 체중을 잽니다. 7.6kg... 홍 성갑 선생님이 거묘(巨猫)라며 놀라십니다.
마취 후 각종 검사를 합니다.
입을 열어 보니 입 안에 염증이 심하다고 하십니다.
염증이 있어서 먹고 싶어도 먹지 못하고 물만 마셨다고 합니다.
범백 검사도 했습니다만 다행히 범백은 아니라고 합니다.
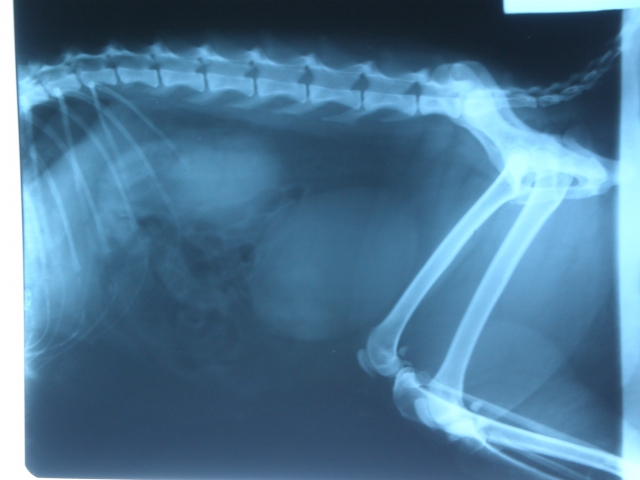
혈액검사와 X-Ray, 또 다른 검사들을 마친 후 신장의 건강도를 측정하는 수치들이 거의 최악 수준이라고 하십니다.
경아는 심각한 신부전증으로 인해 배뇨를 원활히 할 수 없어서 방광에 소변이 가득 찬 상태고,
그 뇨독으로 인해 입 안에도 염증이 발생한 거라고 하십니다.
X-Ray 로 본 경아의 방광에 소변이 가득 차서 그 날 밤을 넘겼다면 방광이 터졌을 가능성이 높다고 하십니다.
홍 성갑 선생님이 피도 약간 섞여 있는 경아의 소변을 주사기로 빼내고 나서
나머지 체내에 남아 있는 소변의 배출을 위해 경아의 요도에 카데터를 꽂고 있습니다.
카데터가 꽂힌 상태에서 경아의 요도로부터 소변이 흘러 나오고 있습니다.
그리고 조금이라도 더 소변을 밖으로 배출시키기 위해 경아의 복부를 압박하고 있습니다.
선생님 말씀으로는 이런 신부전증이 급성일 수도, 만성일 수도 있는데,
급성인 경우 수치가 높다가도 치료를 하면 금방 내려가기도 한다고 합니다.
그럴 경우는 생존율이 높지만 경아의 경우는 급성이라고 단정하기 힘들고,
하루나 이틀 정도만에 상태가 호전되지 않으면... 좋지 않은 일이 생길 수도 있다고 하십니다.
지속적으로 경아의 체내에 수액을 투여해서 배뇨의 상태을 확인하고,
신장 검사를 반복해서 수치를 점검해야 한다고 하십니다.
경아의 나이가 최소 7살 이상은 될 거라고 하시는데,
길고양이 치고는 노묘(老猫)에 속하는 지라 체력적으로 버텨낼 수 있을 지도 걱정이 됩니다.
딱히 병원에서 더 할 수 있는 일이 없었기 때문에 그 날 3월 4일 금요일 밤은 11시 30분쯤에 병원을 나왔습니다.
3월 5일 토요일에는 봐야 할 집안일들이 있어서 병원에 가보지 못했고,
3월 6일 일요일 아침에 병원을 방문했습니다.
경아는 여전히 밥을 먹지 못하고 물만 마신다고 합니다.
아직까지 신장 수치는 떨어지지 않고 있고, 조금 더 지켜봐야 할 것 같다고 말씀 하십니다.
경아가 마취에서 깨고 난 후에도 이런 저런 검사들을 대단히 잘 받고 아주 순하다고 하십니다.
하니 동물병원에는 경아 말고 달리 구조되어 입원 중인 고양이들이 있습니다.
올무에 걸려서 허리 부분에 큰 수술을 받고 회복 중인 후크.
그리고 사연은 잘 모르겠지만 양평이라는 이름을 가진 예쁜 삼색이도 있었고,
TNR 을 위해서 감자칩님이 포획해 온 고양이도 있었습니다.
일요일 아침이라 그리 바쁘지 않을 거라 생각했지만 의외로 손님들이 많아 병원이 붐볐습니다.
경아를 잘 부탁 드리고 병원문을 나섭니다.
녀석이 다 나을 수 있을지도 걱정이고, 다 나은 후에는 또 어찌 해야 하는지 그것도 걱정이고,
치료를 받는 중에도 또 저는 주중에 지방에 내려가 있어야 하기 때문에 직접 볼 수 없으니 그것도 갑갑한 일이고...
일요일 오후 3시쯤 병원에서 전화가 옵니다.
신장을 다시 검사해 본 결과 수치가 좀 내려갔다고 합니다.
안심하긴 이르지만 희망을 가져도 좋을 것 같다고...
그동안 협회 싸이트를 통해서 하니 동물병원에 대한 얘기들을 많이 들어왔지만
직접 겪고 보니 참 대단하신 분들이라는 생각이 듭니다.
홍 성갑 선생님은 (비난 목적이 아니니 굳이 성함 공개를 꺼려야 할 이유는 없겠죠?)
대한민국의 모든 의료계 종사자들이 이랬으면 좋겠다는 생각이 들 정도로
사려 깊고 자상하고 꼼꼼하게 처치 및 설명을 다 해주십니다.
간호사 선생님도 친절하고 헌신적이어서 참 마음이 놓입니다.
선생님 말씀으로는 한 일주일 정도 더 치료한 후, 그 뒤에 방향을 정하자고 하십니다.
말씀 드릴 만한 상황이 되면 경아 소식을 update 하겠습니다.
가능하신 분들께서 관심을 가져 주시면 감사하겠습니다.







재크님이통안뵈다 치료난에있기에 놀라기는했는데 안좋은일이생겼군요 경아소식도없어 잘지낼거라햇는데 안타까워요ㅜㅜ