협회 치료지원을 받은 아이가 항상 건강하길 응원합니다. 치료지원의 후기는 양식에 맞춰 작성해주세요.
후기를 보시는 많은 분들께 큰 도움이 됩니다.
대한민국에 길고양이들이 아픔없이 건강해질 수 있도록 성실하게 작성해주세요
*양식에 맞춰 작성해주시지 않으시는 경우 지원 정산을 도울 수 없으며 다음 치료지원신청이 어려운 점 양해부탁드립니다.
 
| 사진첨부 | ||
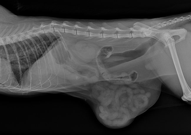
| 치료전 대상묘 | 
 
 
 | 
 
 
 
 | 
| 치료중 대상묘 | 
 
 
 
 | 
 
 
 
 
 
 | 
| 치료완료후 | 
 
 
 
 
 
 | 
 
 
 
 
 
 
 
 | 
| 
 
 
 | 
 
 
 | |
 
					








 
				


























 똘이 구내염 전발치 후기입니다(똘이)
							똘이 구내염 전발치 후기입니다(똘이)
							 순이 치료후기입니다(순이)
							순이 치료후기입니다(순이)
							 
				
																				 
				
				
				
				
		 
				
				
				
				
		 
				
				
				
				
		 
				
				
				
				
		 
				
				
				
				
		 
				
				
				
				
		 
				
				
				
				
		 
				
				
				
				
		 
				
				
				
				
		 
				
				
				
				
		 
				
				
				
				
		 
				
				
				
				
		 
				
				
				
				
		 
				
				
				
				
		 
				
				
				
				
		 
				
				
				
				
		 
				
				
				
				
		 
				
				
				
				
		 
		 
					 
					 
					 
					 
					 
					 
					