고양이보호협회 너무 감사합니다
전발치치료완료한 달님이치료후기(달님)
| 대상묘 발견 정보 | |
|---|---|
| 대상묘 이름 | 달님 |
| 대상묘발견일자 | 2020-06-02 |
| 지원신청전 돌봄기간 | 2020-06-02~2026-02-09 |
| 대상묘아픔시작일 | 2026-01-15 |
| 대상묘신청당시상태 | 2020년 이사간 집에서 어미와 새끼냥이 두마리가 밥을 먹으러 왔는데 밥을 챙겨주기 시작하니 어미가 한마리를 저희집 빌라앞에 독립을 시킨후 아이는 저희집 앞에 매일 밥을 먹으러 왔습니다 그때부터 달님이와의 연이 시작되었습니다 그때당시 저는 한마리 냥이를 키우고 있었고 길냥이에 대한 인식이 무지한 상태여서 밥과 집만 챙겨주었습니다 어느날 새끼였던 달님이는 발정이 오고 가끔 저희집에 와서 밥을 먹고 다른데서 임신과 출산을 반복하였습니다 시간이 지나 동네 길냥이들이 저희집 빌라앞에 밥을 많이 먹으러왔고 길냥이에 대해 공부하기 시작해서 길냥이들을 TNR시켜주고 새끼냥이들은 구조후 입양을 보내기 시작했습니다 때마침 달님이가 임신후 출산을 하였고 제가 만들어놓은 겨울집에 새끼들을 이소시킨후 지내기 시작했습니다 하지만 새끼들은 상태가 다들 너무 안좋았고 그대로 두면 죽을꺼같아 새끼들은 구조후 달님이는중성화를 시켜주었습니다 달님이에게 꼭 새끼들 잘 키우겠다며 달래주며 새끼들은 입양가고 두마리는 제가 품게되었습니다 달님이는 이전에 낳았던 아들 달콩이와 배추라는 친구와 셋이 항상 붙어다니며 빌라뒤 만들어놓은 밥자리에서 잘 지내며 살았고 제가 이사가게되어 급식소도 동네 다른곳으로 이동하게되었습니다 새로운급식소에서도 셋이 잘지냈지만 추운 겨울이 왔고 항상 고질병이였던 달님이의 호흡기가 말썽이였는지 1월부터 달님이는 그좋아하는 츄르도 거부하며 말라가기 시작했습니다 겨울집에서 몇일을 안나왔고 얼굴도 안보여주며 밥을 안먹었고 눈이며 코이며 엉망이 되기시작했습니다 약을 먹이려해도 음식자체를 거부하니 나아지질 않았고 이대로 두면 죽을꺼같아 병원에 가서 수액이라도 맞아 기력을 찾기 바라며 구조하게되었습니다 |
| 치료전 대상묘 사진 | ![]() ![]() ![]() ![]() ![]() |
| 대상묘 치료 | |
| 대상묘 병명 | 지방간 및 치주염 |
| 치료기간 | 2026-02-03~2026-03-10 |
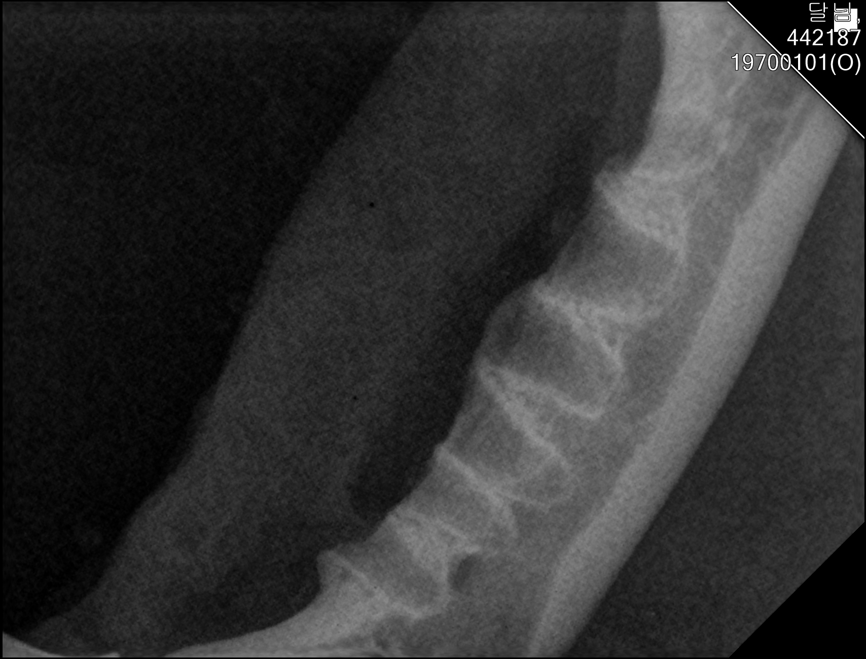
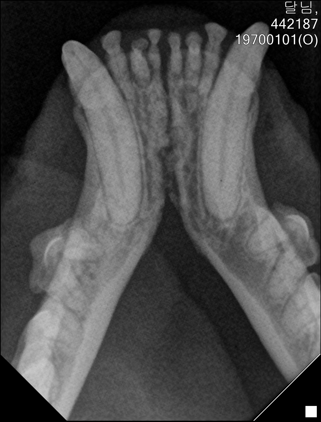
| 치료과정 | 달님이를 병원에 데려갔을때 거의 한달 가까이 먹질 못했기 때문에 몸무게는 2키로 초반대로 나갔고 마취하고 검사할수있는 상태가 아니였기 때문에 피검사를 통해서 간단히 검사후 입원하기 시작했습니다 탈수증세가 너무 심했고 수액을 맞으면서 자발식을 찾으려 했지만 달님이는 전혀 먹질 않았고 입원기간도 길어지게 되었습니다 그 와중에 청천벽력같은 소리를 듣게되었습니다 신장수치가 좋지않아 신부전이라는 결과였습니다 손도안타는 이아이를 제가 과연 케어할수있을까 너무 너무 걱정이였고 눈물이 앞을 가렸습니다 하지만 우선 체력을 회복한후 걱정은 나중에 하기로하고 달님이 치료에 집중하기 시작했습니다 병원에서도 선생님들이 달님이를 강제 급여도 해주고 수액도 계속 맞고 보니 꽉 막혀있던 코에서 콧물도 나고 소변도 보기 시작했습니다 그리고 다시 검사를 하고나니 다행히 신부전은 아니고 지방간이라고 하였습니다 아마도 오래전부터 먹는양이 줄어들었고 최근에 들어 아예 먹질못해서 간이 망가졌고 황달증세가 생겼다고합니다 어떤 이유에서인지모르겠지만 달님이는 원래 호흡기도 안좋았고 항상 콧물과 재채기를 달고산 아이라 호흡기도 안좋았고 이빨상태도 안좋아 밥을 못먹기 시작했던거같습니다 우선 체력회복이 중요하기때문에 집에서 케어한후 간 회복후 추후에 발치를 하기로 하였습니다 집에 온후 달님이는 바로 사료를 먹기시작했습니다 아마도 병원이 싫어서 밥을 안먹었던 모양입니다 매일 처방식과 약을 먹이면서 살을 찌우기 위해 이것저것 달님이가 좋아하는 캔과 츄르를 바치기 시작했고 다행히 달님이는 매일 맛있는 밥을 먹으며 살이 찌기시작했습니다 한달되는 날 발치와 검사를 위해 병원에 가서 검사를 하였는데 달님이는 3.86키로로 몸무게도 상당히 늘었으며 검사결과 모든 수치가 좋아졌습니다 그리고 마취후 이빨상태를 보니 치주염이 심각했고 이빨은 어금니부터 송곳니까지 다 내려앉은 상태였습니다 입안은 구내염이 시작되었고 원장님은 송곳니도 지금도 안좋지만 나중에 되면 더 아퍼질꺼라며 전발치를 해야한다 하였고 저는 달님이과 전발치를하고 길에서 잘 살수있을까 너무 걱정이였지만 나중에 아파서 또 구조후 마취하는것보다 낫다고 생각했고 밥자리도 잘 되어있어 전발치하고도 잘사는길냥이들 많다고 들어서 전발치를하게되었습니다 달님이는 수술을 잘 마쳤고 퇴원후 달님이는 집에서 10일정도는 약먹고 회복해야하기때문에 집에서 좀더 케어한후 방사할 예정입니다 |
| 대상묘 치료중 사진 | ![]() ![]() ![]() ![]() ![]() |
| 대상묘 향후 계획 | |
| 치료완료후 방사여부 | 예 |
| 치료완료후 케어계획 | 우선 달님이는 발치후 저희집에서 약 한달동안 케어 예정입니다 10일동안은 입안이 불편하여 잘못먹을수도 있다고하여 주의깊게 보며 케어하고 방사전에는 접종까지 하고 보낼 예정입니다 3월이지만 아직 날씨가 오락가락하고 너무 추운날이 많아 달님이가 이렇게라도 집에서 추운바람을 피할수있어 다행이라고 생각하고 완전히 다 나은후에 아들 달콩이와 친구 배추가 있는곳으로 돌려보내려고 합니다 집에서 매일 구석에 박혀서 지내는 달님이의 모습도 안타깝고 엄마찾을 달콩이도 안타깝고 얼릉 달님이가 회복할수있게 맛있는 간식 츄르주면 따뜻해질 날까지 잘 지내려보려합니다 |
| 치료 완료후 사진 | ![]() ![]() ![]() ![]() |
| 감사인사 및 소감 | 달님이는 회복동안 저희집에서 방한칸 마련된 곳에서 예전에 달님이 자식이였던 딸들도 만나보고 항상 보던 강아지라도 지내며 잘 회복하였고 딸들도 몇년을 떨어져있었지만 친엄마를 알아보는지 가까이 가보기도 하고 (다른애들은 전혀 들어가보지 않음) 감동의 재회였습니다 새끼냥이구조했을때 내가 잘키워준다고 약속한걸 지킨거 같아 뿌듯했고 또 맘한켠으로 달님이까지 품을수없어 너무 미안했습니다 이미 집에는 7마리 고양이와 한마리 강아지가 있어 더이상 여력이 안되고 달님이 아프다고 구조했을때도 우리집에도 아픈냥이가 많은에 내가 과연 감당할수있을까 눈앞이 너무깜깜했고 입원후 발치를 해야한다는 소리를 들었을때는 진짜 모든걸 다 포기하고싶었는데 고보협에 치료지원프로그램으로 인해 숨통이 트이는 기분이였습니다 전발치금액은 저에게 너무나도 큰돈이였고 그전 입원비 또한 큰돈이였기때문에 하루하루 막막했을꺼같은데 고보협에 너무나 감사드립니다 소소하게 몇년동안 후원했던 후원급이 저에게 이렇게 크나큰 감동으로 되돌아올지 몰랐습니다 앞으로도 길냥이를 위해 애쓰는 고보협에 꾸준히 후원하겠습니다 |
| 공지 | [후기 선정 이벤트] 돌보시는 길고양이를 위해 소정의 선물을 보내드립니다. | 운영지원2 | 2020.05.13 |
| 공지 | [필독]후기 작성방법 + 추가제출서류(조건부) | 고보협. | 2014.01.09 |
| 공지 | ★ 이곳 게시물은 협회 치료지원 받은 길냥이 소식 올리는 란입니다 구조요청,문의 작성은 묻고답하기에 작성해주세요★ | 감자칩[운영위원] | 2012.07.04 |
-
구슬이 구내염 치료후기(구슬이)
2026.03.12
-
전발치치료완료한 달님이치료후기(달님)
2026.03.10
-
당이 뒷다리 골절 치료 후기
2026.03.08
-
구내염 까미 치료 후기 입니다(까미)
2026.03.05
-
하지마비 길냥이 콘칩 구조와 치료 후기(콘칩)
2026.03.04
-
까망이 치료 후기 입니다.(까망이)
2026.02.25
-
나방이 구내염 치료 후기(나방이)
2026.02.15
-
대장이 구내염치료후기
2026.02.10
-
사랑이 슬개골 교정, 대태골두 절제 잘 마쳤습니다
2026.02.01
-
[새살솔솔캠페인] 쫄보2 치료 후기입니다
2026.01.28
-
고보협 덕분에 죽어가던 고양이를 살리게 되었습니다.
2026.01.27
-
내원냥이 인절미 치료중입니다
2026.01.22
-
내원냥이 치료후기(꼬맹이)
2026.01.18
-
보통놈이아닌 레몬이의 길생활(레몬이)
2026.01.13
-
아리 구내염 치료후기(아리)
2026.01.04
-
구내염 식음전폐 고양이 꼬리 치료후기
2025.12.31
-
[광복냥이] 겨울이 구내염 치료기
2025.12.30
-
카오스냥이 치료후기(카오스)
2025.12.26
-
나방이 구내염 치료 과정 (중기)
2025.12.15
-
까망이 치료후기입니다
2025.12.15





















치료중사진이첨부안되어 추가합니다