구내염 식음전폐 고양이 꼬리 치료후기
| 대상묘 발견 정보 | |
|---|---|
| 대상묘 이름 | 꼬리 |
| 대상묘발견일자 | 2023-06-01 |
| 지원신청전 돌봄기간 | 약 2년 반 |
| 대상묘아픔시작일 | 2024-07-01 |
| 대상묘신청당시상태 | 사실 나의 돌봄영역에 처음부터 있었던 고양이는 아니었고 오가는 냥이 중 하나였는데, 작년부터 꾸질꾸질한 모습으로 나타나 사료에 약을 섞어 주었고 올 초부터는 더욱 심각하게 침을 흘려 캔과 약을 주었는데, 좀 나았다 싶으면 몇주간 사라졌다가 매우 악화 되어 나타나기를 반복했다. 이제는 더이상 약을 먹어도 낫지 않고 피가 섞인 침을 흘리며 음식물을 먹지 못하고 있었다. 만날때면 캔을 갈아서 주며 연명해 왔지만 이 장마에 자주 만나기도 어렵고, 점점 상황이 심각해져가서 전발치및 입원치료가 필요성을 느껴서 고보협에 치료지원 신청을 하고 통덫을 설치해두니, 갑자기 일주일이상 사라져서 애를태웠다. 가까스로 나타난것을 cctv로 확인하자마자 통덫안에 냄새가좋은 캔을 놓았고 다행히 식욕이 있었던 꼬리는 쉽게 잡혀주었다. 잡히자마자 지옥에서 살려낸것 같은 기쁜 마음으로 꼬리를 병원으로 이송했다. |
| 치료전 대상묘 사진 | ![]() |
| 대상묘 치료 | |
| 대상묘 병명 | 구내염 + 목구멍염 |
| 치료기간 | 2025.8.2-8.21 (발치 및 입원) |
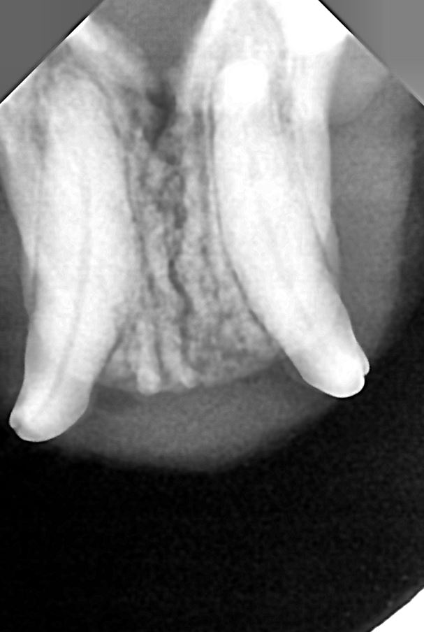
| 치료과정 | 꼬리는 상태가 조금 나아졌다싶으면 사라졌다가 매우 악화된 모습으로 나타나기를 반복하고는 했다 더이상 약도 큰 효과가 없었고 피섞인 침을 흘리며 음식물을 먹지 못하며 점점 상황이 심각해져가서 전발치및 입원치료가 필요성을 느끼고 치료지원신청을 하게 되었다. 어느 날 갑자기 사라져서 걱정했는데 다행히 다시 나타나서 구조하게 되었다. 치료지원신청 당시 미리 신청해두었던 동물병원으로 이송했는데, 선생님께서 꼬리는 당장 전발치를 감당할수 있는 체력이 아니라고 하였다. 조금이라도 더 나은 체력상태를 만들기 위해 꼬리는 얼마간 수액을 맞고 체력보충을 하고나서 전발치를 하게되었다. 여태까지는 유석 동물병원에서 전발치 수술+목구멍레이저를 함꼐하는 치료프로토콜이었는데, 이번에는 목구멍레이저는 실시하지 않는 곳이어서 그런건지,아니면 꼬리의 상태가 오랫동안 (1년이상으로 추측) 너무 심각해서 그런건지 전발치를 하고나서, 충분한 입원치료를 하고나서도 침을 흘리는 증상이 지속되었고 방사를 할 수 있는 건강상태로 쉽게 회복되지 못했다. *엑스레이 사진은 동물병원에서 주신 전발치 방사선과 전발치 이후 케어 과정. |
| 대상묘 치료중 사진 | ![]() |
| 대상묘 향후 계획 | |
| 치료완료후 방사여부 | 예 |
| 치료완료후 케어계획 | 이전까지 냥이들은 발치를 하면 급격히 좋아졌는데 꼬리는 치료 프로토콜이 달라져서인지, 고양이의 목구멍염이 너무 심했던 것인지 한달반정도를 예상했던 케어기간이 세달이 되도록 지지부진해서 이친구는 안 낫는 것인가 걱정도 됐었다. 일단 식욕은 좋기때문에 매일 활성화 비타민 b, 아연, 베타글루칸, 모듀케어, 초유, 엘라이신, msm, 영양효모등을 캔에 섞어주었고, 침이 심해질때는 처방받은 소론도(스테로이드)를 체중에 맞게 급여하였다. 한달정도 지나서부터는 캐츠랑 키튼같은 작은사료도 줘봤는데 꽤 잘먹었고 두달 이후부터는 일반 사이즈 사료도 잘 먹었고 물이나 캔을 먹을때 엄청난 덩어리침을 뱉어내는 증상도 사라져갔다. 영양제와 사료 캔을 열심히 먹인 탓인지 세달반이 지나자 침이 점차 멎고 그루밍을 못해서 나는 극심한 썩은내가 사그라들고 제법 고양이꼴을 다시 갖추어 방사가 가능하게 되었다. 재발방지를 위해 사료에 보조제들을 뿌리는 방식으로 계속 급여하며 건강이 유지되도록 앞으로 쭉 돕는 중이다. |
| 치료 완료후 사진 | |
| 감사인사 및 소감 | 고보협 덕분에 엄두도 내지 못하던 아픈 냥이들을 구조할수 있어서 참 감사하고 기쁘다. 고보협과 함께한 치료 덕분에, 처음엔 구내염이라는것이 정말 죽음밖에 답이 없는 병 같게 느껴졌지만, 이젠 전발치를 하고 영양제등으로 케어를 하면 완치는 아니더라도 완치에 가까운, 가끔 침은 흘리더라도 사료먹고 일상생활 하는데 지정없는 정도로 회복이 된다는것을 알게되었다. 그래서 갑자기 아픈 냥이들을 보더라도 일년에 한번정도는 구조해서 치료계획을 세울수 있어서 참 감사하다. 세상에 모든 살아있는 생명을 돌볼순 없지만 내 눈길과 손길이 닿는 몇몇의 작은 생명이라도, 밥이라도 먹고 함께 살아갈수 있도록 함께해주고 필요한때에 요긴한 도움을 베풀어주셔서 감사합니다. |
| 공지 | [후기 선정 이벤트] 돌보시는 길고양이를 위해 소정의 선물을 보내드립니다. | 운영지원2 | 2020.05.13 |
| 공지 | [필독]후기 작성방법 + 추가제출서류(조건부) | 고보협. | 2014.01.09 |
| 공지 | ★ 이곳 게시물은 협회 치료지원 받은 길냥이 소식 올리는 란입니다 구조요청,문의 작성은 묻고답하기에 작성해주세요★ | 감자칩[운영위원] | 2012.07.04 |
-
사랑이 슬개골 교정, 대태골두 절제 잘 마쳤습니다
2026.02.01
-
[새살솔솔캠페인] 쫄보2 치료 후기입니다
2026.01.28
-
고보협 덕분에 죽어가던 고양이를 살리게 되었습니다.
2026.01.27
-
내원냥이 인절미 치료중입니다
2026.01.22
-
내원냥이 치료후기(꼬맹이)
2026.01.18
-
보통놈이아닌 레몬이의 길생활(레몬이)
2026.01.13
-
아리 구내염 치료후기(아리)
2026.01.04
-
구내염 식음전폐 고양이 꼬리 치료후기
2025.12.31
-
[광복냥이] 겨울이 구내염 치료기
2025.12.30
-
카오스냥이 치료후기(카오스)
2025.12.26
-
나방이 구내염 치료 과정 (중기)
2025.12.15
-
까망이 치료후기입니다
2025.12.15
-
꼬맹이 교통사고 치료 후기입니다
2025.12.05
-
카옹이 치료 후기(카옹이)
2025.11.28
-
토리의 구내염 수술 이후 무사회복 STORY
2025.11.26
-
만성 구내염에 걸린 장수 치료 후기(장수)
2025.11.26
-
알콩이 치료지원 후기
2025.11.24
-
[광복냥이] 삼색이 구내염 전발치 후기
2025.11.22
-
[새살솔솔캠페인후기] 애교후기입니다(애교)
2025.11.20
-
[응급냥이캠페인]유동이의 두번째 묘생
2025.11.20








