삼색이 구내염 치료 후기입니다.
[광복냥이] 삼색이 구내염 전발치 후기
| 대상묘 발견 정보 | |
|---|---|
| 대상묘 이름 | 삼색이 |
| 대상묘발견일자 | 2025-07-13 |
| 지원신청전 돌봄기간 | 2025.7~2025.10 |
| 대상묘아픔시작일 | 2025-07-13 |
| 대상묘신청당시상태 | 처음 발견당시 마르고, 털 상태도 안좋은 모습에 멀리서 봐도 아픈 아이라는 걸 알 수 있었습니다. 뭐라도 먹여야겠다는 마음에 사료와 츄르를 주었는데 츄르만 간신히 먹고 사라지더라구요. 그 이후에도 그 아이 모습이 떠올라 동물병원 약을 지어 그 아이를 찾기 위해 동네를 돌아다니어 차 밑에 웅크리고 있던 삼색이를 찾았습니다. 습식에 약을 타주었는데 처음에는 밥도 거부하는 상태였습니다. 매일 습식과 약을 챙겨갔는데 조금 먹어보고 안먹어서 제 마음을 애타게 했습니다...바로 앞에 습식을 둬도 안먹고 같이 다니는 턱시도 냥이에게 습식을 양보하더라구요. 어려움이 많았지만 그렇게 조금조금씩 먹는 양을 늘려 약을 먹었고, 식욕을 되찾은것 같았습니다. 하지만 날씨가 쌀쌀해지면서 증상이 다시 안좋아졌습니다. 머리를 심하게 흔들고 많이 괴로워 보였습니다. 이제는 약으로 일시적인 증상 완화가 아닌 근본적인 치료를 해주고 싶었습니다. 구내염 치료비 부담을 느낄 수 밖에 없는 현실에 막막함을 느끼던 중 고보협에 문의글을 남겼고, 광복냥이 캠페인을 안내받아 신청하게되었습니다. |
| 치료전 대상묘 사진 | ![]() ![]() ![]() ![]() |
| 대상묘 치료 | |
| 대상묘 병명 | 난치성치은구내염 중증 |
| 치료기간 | 10.27~11.15 |
| 치료과정 | 선생님께서 삼색이 입안 사진을 보여주셨는데 밖에서 보여지는 것, 생각했던 것보다 심해 보였습니다. 피가 고여있고 점막궤양화가 진행되고 있다고 설명해주셨습니다. 치료 후 방사예정이라 송곳니라도 남기고 싶었지만 선생님께서 전발치를 권하셨고, 선생님 뜻에 따라 윗 앞니만 제외하고 전발치를 했습니다. 힘든 수술이었지만 아이가 잘 견뎌준것 같습니다. 3일 입원하며 통증 조절 시키고, 나머지 보름동안은 저희 집 케어장에서 케어하며 처방받은 스테로이드제와 항생제를 먹였습니다. 혀가 들어가고, 입 주변이 깨끗해지고, 그루밍을 할 수 있게되더니 털 상태까지 좋아지는 모습을 볼 수 있었습니다. 밥도 잘 먹어주어 너무 다행이었습니다. 원래도 말랐던 아이라 치료 기간 동안 많이 먹고 회복할 수 있도록 습식을 충분히 주었고, 방사 전에는 건사료도 잘 먹는 모습을 확인했습니다. 미모도 다시 되살아났습니다. |
| 대상묘 치료중 사진 | ![]() ![]() ![]() |
| 대상묘 향후 계획 | |
| 치료완료후 방사여부 | 예 |
| 치료완료후 케어계획 | 항생제를 좀 더 먹이면 좋을 것 같다 하셔서 삼색이에게 하루에 1번 습식에 항생제 타주고 있습니다. 만약 제게 다시 가까이 올 수 있게 된다면 입 주변 상태도 관찰해서 약 조절해주려 합니다. 아직은 포획당한 경험으로 가까이 오고 있지 않고 제가 습식을 두고 사라지면 그제서야 습식을 먹더라구요. 삼색이와 다시 신뢰를 쌓아나가는데 좀 더 시간이 필요할 것 같습니다. |
| 치료 완료후 사진 | ![]() ![]() ![]() ![]() ![]() ![]() |
| 감사인사 및 소감 | 치료를 지원해주신 고보협과 후원자분들께 깊이 감사드립니다. 덕분에 삼색이는 남은 생을 편안하게 살아갈 수 있게 되었습니다. 길 위에서 외롭고 고통스럽게 생을 마감하는 고양이들이 더 이상 없기를 바라며, 저 역시 제 자리에서 할 수 있는 최선을 다하겠습니다. 소중한 생명을 지키기 위해 애써주시는 고보협과 모든 회원분들을 진심으로 응원합니다. 따뜻한 손길 덕분에 한 생명이 다시 살아갈 수 있었습니다. 감사합니다. |
- ?
-
?
[치료 과정]
선생님께서 삼색이의 입 안을 촬영해 보여주셨을 때, 겉에서 보던 모습과는 비교할 수 없을 만큼 상태가 심각해 보였습니다. 피가 고여 있었고, 점막이 궤양으로 진행되고 있다고 설명해주셨습니다. 치료 후 방사 촬영을 예정하고 있어 최소한 송곳니라도 남기고 싶었지만, 선생님께서는 전발치를 권하셨고 아이에게 가장 좋은 방향이라는 판단 아래 윗 앞니만 남기고 전발치를 진행했습니다. 긴 수술이었음에도 삼색이가 끝까지 잘 버텨준 것이 너무 대견했습니다.수술 후 3일간 입원하며 집중적으로 통증 조절을 받았고, 이후 보름 동안은 저희 집 케어장에서 처방받은 스테로이드제와 항생제를 복용하며 회복을 이어갔습니다. 시간이 지나면서 혀가 다시 잘 들어가고, 입 주변의 염증이 눈에 띄게 가라앉기 시작했습니다. 그루밍도 가능해지면서 털 상태까지 점점 좋아지는 모습을 보며 안심할 수 있었습니다. 무엇보다 밥을 잘 먹어주는 것이 큰 힘이 되었습니다. 원래 마른 체질이라 영양을 잘 채워줘야 한다는 마음으로 치료 기간 동안 습식 사료를 충분히 제공했고, 방사 전에는 건식 사료도 문제없이 먹는 모습을 확인했습니다. 그렇게 회복이 진행되면서 삼색이의 예쁜 모습과 생기까지 다시 살아나는 것을 보며 정말 다행이라고 느꼈습니다.
[감사인사]
치료를 지원해주신 고보협과 후원자분들께 깊은 감사의 마음을 전합니다. 많은 분들의 따뜻한 도움 덕분에 삼색이는 이제 고통에서 벗어나 남은 생을 편안하게 살아갈 수 있게 되었습니다. 한때는 아픔 속에서 버티고 있던 아이였지만, 표정도 편안해지고 통통하게 살이올라가고 있습니다. 삼색이를 챙겨주시는 옆집 아주머니께서도 삼색이가 이뻐졌다며 기뻐해주셔서 저 또한 기뻤습니다.구내염 걸린 아이들이 너무나 많습니다. 고보협의 광복냥이 캠페인은 이러한 아이들을 위해 없어서는 안될 캠페인입니다. 저도 처음에는 비싼 치료비에 용기가 나질 않았는데, 광복냥이 캠페인 덕분에 용기를 낼 수 있었습니다. 길 위에서 외롭고 고통스럽게 생을 마감하는 아이들이 없길 바라며... 저 또한 제 자리에서 할 수 있는 최선을 다해 작은 생명을 지키는 데 힘을 보태겠습니다. 소중한 생명을 위해 애써주시는 고보협과 모든 회원분들께 진심으로 응원의 마음을 전합니다.



| 공지 | [후기 선정 이벤트] 돌보시는 길고양이를 위해 소정의 선물을 보내드립니다. | 운영지원2 | 2020.05.13 |
| 공지 | [필독]후기 작성방법 + 추가제출서류(조건부) | 고보협. | 2014.01.09 |
| 공지 | ★ 이곳 게시물은 협회 치료지원 받은 길냥이 소식 올리는 란입니다 구조요청,문의 작성은 묻고답하기에 작성해주세요★ | 감자칩[운영위원] | 2012.07.04 |
-
사랑이 슬개골 교정, 대태골두 절제 잘 마쳤습니다
2026.02.01
-
[새살솔솔캠페인] 쫄보2 치료 후기입니다
2026.01.28
-
고보협 덕분에 죽어가던 고양이를 살리게 되었습니다.
2026.01.27
-
내원냥이 인절미 치료중입니다
2026.01.22
-
내원냥이 치료후기(꼬맹이)
2026.01.18
-
보통놈이아닌 레몬이의 길생활(레몬이)
2026.01.13
-
아리 구내염 치료후기(아리)
2026.01.04
-
구내염 식음전폐 고양이 꼬리 치료후기
2025.12.31
-
[광복냥이] 겨울이 구내염 치료기
2025.12.30
-
카오스냥이 치료후기(카오스)
2025.12.26
-
나방이 구내염 치료 과정 (중기)
2025.12.15
-
까망이 치료후기입니다
2025.12.15
-
꼬맹이 교통사고 치료 후기입니다
2025.12.05
-
카옹이 치료 후기(카옹이)
2025.11.28
-
토리의 구내염 수술 이후 무사회복 STORY
2025.11.26
-
만성 구내염에 걸린 장수 치료 후기(장수)
2025.11.26
-
알콩이 치료지원 후기
2025.11.24
-
[광복냥이] 삼색이 구내염 전발치 후기
2025.11.22
-
[새살솔솔캠페인후기] 애교후기입니다(애교)
2025.11.20
-
[응급냥이캠페인]유동이의 두번째 묘생
2025.11.20




















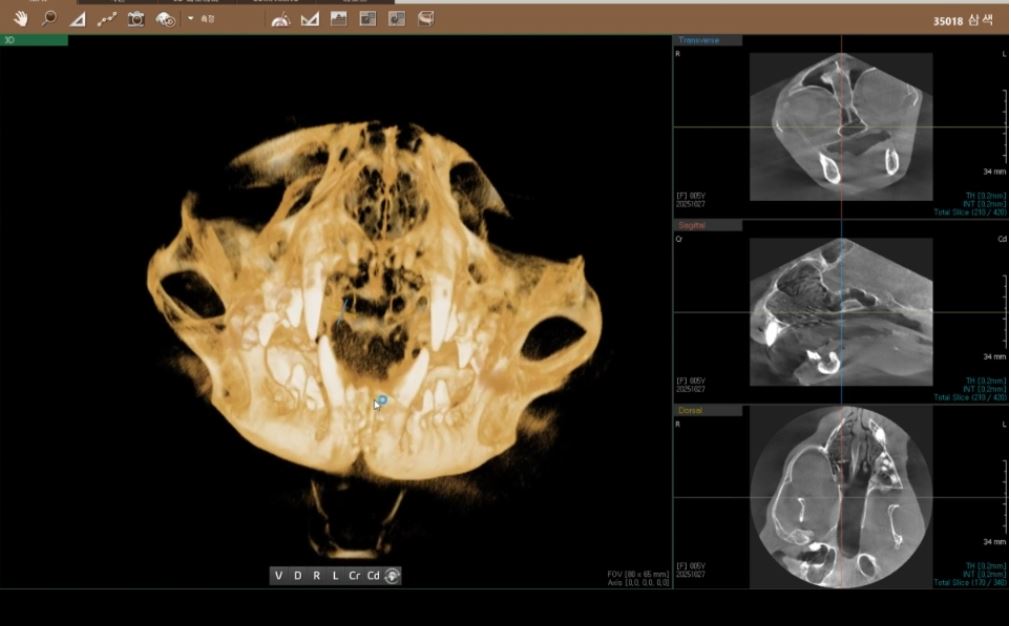
치아 엑스레이 발치 전, 후 사진입니다.